国际禁毒日期间
一名缉毒警察连上三个热搜

右臂已经明显变形
“肱骨被拧断成了麻花状”
他叫毕光熙
是北京市公安局丰台分局
刑侦支队禁毒大队的
一名禁毒警察

2015年6月17日凌晨3点
毕光熙一行五人
根据线索前往一家歌厅
抓获一名涉毒嫌疑人
在将嫌疑人带离过程中
歌厅内涌出七八名壮汉
将毕光熙五人和车辆去路堵住
面对步步紧逼的恶徒
毕光熙瞅准时机一跃而上
与领头叫嚣者扭打在一起

在奋力压制恶徒的过程中
毕光熙突然感觉右臂一阵剧痛
待到将恶徒制服后起身
毕光熙发现自己的
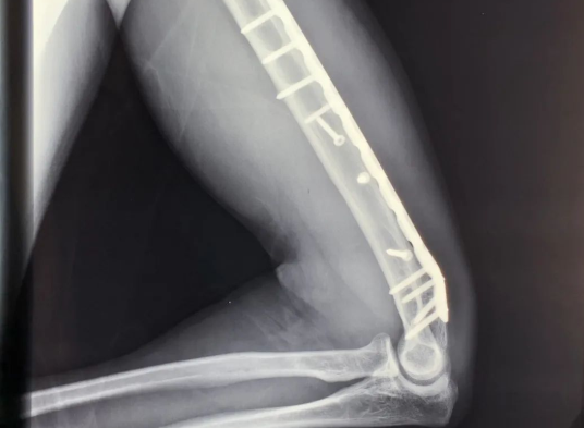
右臂已经明显变形
“肱骨被拧断成了麻花状。”
11根钢钉、20厘米钢板
永久保留在体内
同事将他紧急送往积水潭医院
拍完X光片
医生给出了伤情结论:
“右臂肱骨粉碎性骨折。”
原本预计3个小时的手术
整整延长一倍时长
20厘米长的钢板
11根钢钉
被植入固定在骨折处

由于固定伤处的钢板
距离桡神经过近
产生粘连
拆除钢板或会导致神经受损
进而影响右臂功能
医生建议将其永久保留体内
“下一次还是会往前冲,
这是我的责任!”
如今
毕光熙右臂向后弯曲时
右手手指只能刚刚触碰到肩部
因为担心压到钢板
睡觉时无法向右侧卧
23厘米疤痕
20厘米钢板
11根钢钉
一张蓝色残疾证
……
将伴随他的一生

但他说这是“勋章”:
“我不后悔!
下一次还是会往前冲,
这是我的责任!”

一名网友的评论
被三千多人点赞认同:
“我不想认识他们,
只想他们能平安。”

让我们一起
致敬禁毒英雄
对毒品说“不”!

【纠错】
【责任编辑:郑薇
】


